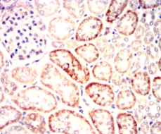
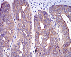
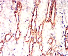
C-CBL Mouse Monoclonal antibody[3B12C]

AccuSift
CBL; CBL2; NSLL; C-CBL; RNF55
SKU Name Unit Price Delivery QTY
AC1387 C-CBL Mouse Monoclonal antibody[3B12C] 100ug $367 10days
AC1387 C-CBL Mouse Monoclonal antibody[3B12C] 200ug $660.6 10days

The cbl oncogene was first identified as part of a transforming retrovirus which induces mouse pre-B and pro-B cell lymphomas. As an adaptor protein for receptor protein-tyrosine kinases, it positively regulates receptor protein-tyrosine kinase ubiquitination in a manner dependent upon its variant SH2 and RING finger domains. Ubiquitination of receptor protein-tyrosine kinases terminates signaling by marking active receptors for degradation.



Aliases:   CBL; CBL2; NSLL; C-CBL; RNF55    

Entrez GeneID:    867    

Swissprot:    P22681    

WB Predicted band size:    120kDa    

Host/Isotype:    Mouse IgG1    

Species Reactivity:    Human,Mouse,Rat,Monkey,Rabbit    

Immunogen :   Purified recombinant fragment of human C-CBL expressed in E. Coli.    

Operation

WB    1/500 - 1/2000    

IHC    1/100 - 1/500    

IF/ICC    1/50 - 1/500    

FCM    1/200 - 1/400    

ELISA    1/10000    

References