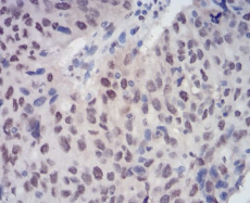
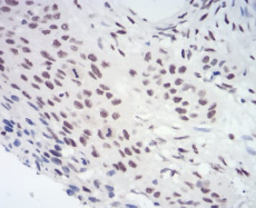
CBX3 Mouse Monoclonal antibody[6D1C4]

AccuSift
HECH; HP1-GAMMA; HP1Hs-gamma
SKU Name Unit Price Delivery QTY
AC1377 CBX3 Mouse Monoclonal antibody[6D1C4] 100ug $367 10days
AC1377 CBX3 Mouse Monoclonal antibody[6D1C4] 200ug $660.6 10days

At the nuclear envelope, the nuclear lamina and heterochromatin are adjacent to the inner nuclear membrane. The protein encoded by this gene binds DNA and is a component of heterochromatin. This protein also can bind lamin B receptor, an integral membrane protein found in the inner nuclear membrane. The dual binding functions of the encoded protein may explain the association of heterochromatin with the inner nuclear membrane. This protein binds histone H3 tails methylated at Lys-9 sites. This protein is also recruited to sites of ultraviolet-induced DNA damage and double-strand breaks. Two transcript variants encoding the same protein but differing in the 5' UTR, have been found for this gene.



Aliases:    HECH; HP1-GAMMA; HP1Hs-gamma    

Entrez GeneID:    11335    

Swissprot:    Q13185    

WB Predicted band size :   20.8kDa    

Host/Isotype:    Mouse IgG1    

Species Reactivity:    Human    

Immunogen :   Purified recombinant fragment of human CBX3 (AA: 1-183) expressed in E. Coli.    

Operation

IHC    1/200 - 1/1000    

FCM    1/200 - 1/400    

ELISA    1/10000    

References