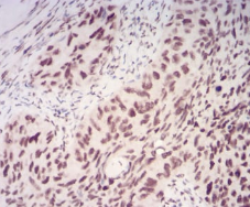
CBX1 Mouse Monoclonal antibody[2B7D6]

AccuSift
CBX; M31; MOD1; p25beta; HP1-BETA; HP1Hsbeta; HP1Hs-beta
SKU Name Unit Price Delivery QTY
AC1373 CBX1 Mouse Monoclonal antibody[2B7D6] 100ug $367 10days
AC1373 CBX1 Mouse Monoclonal antibody[2B7D6] 200ug $660.6 10days

This gene encodes a highly conserved nonhistone protein, which is a member of the heterochromatin protein family . The protein is enriched in the heterochromatin and associated with centromeres. The protein has a single N-terminal chromodomain which can bind to histone proteins via methylated lysine residues, and a C-terminal chromo shadow-domain (CSD) which is responsible for the homodimerization and interaction with a number of chromatin-associated nonhistone proteins. The protein may play an important role in the epigenetic control of chromatin structure and gene expression. Several related pseudogenes are located on chromosomes 1, 3, and X. Multiple alternatively spliced variants, encoding the same protein, have been identified.



Aliases :   CBX; M31; MOD1; p25beta; HP1-BETA; HP1Hsbeta; HP1Hs-beta    

Entrez GeneID :   10951    

Swissprot:    P83916    

WB Predicted band size:    21.4kDa    

Host/Isotype :   Mouse IgG1    

Species Reactivity:    Human    

Immunogen:    Purified recombinant fragment of human CBX1 (AA: 1-185) expressed in E. Coli.    

Operation

IHC    1/200 - 1/1000    

ELISA    1/10000    

References