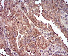
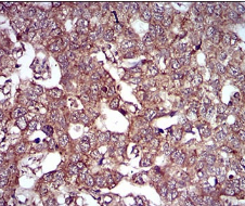
CAV2 Mouse Monoclonal antibody[5E9E2]

AccuSift
CAV
SKU Name Unit Price Delivery QTY
AC1372 CAV2 Mouse Monoclonal antibody[5E9E2] 100ug $367 10days
AC1372 CAV2 Mouse Monoclonal antibody[5E9E2] 200ug $660.6 10days

The protein encoded by this gene is a major component of the inner surface of caveolae, small invaginations of the plasma membrane, and is involved in essential cellular functions, including signal transduction, lipid metabolism, cellular growth control and apoptosis. This protein may function as a tumor suppressor. This gene and related family member (CAV1) are located next to each other on chromosome 7, and express colocalizing proteins that form a stable hetero-oligomeric complex. Alternatively spliced transcript variants encoding different isoforms have been identified for this gene. Additional isoforms resulting from the use of alternate in-frame translation initiation codons have also been described, and shown to have preferential localization in the cell (PMID:11238462).



Aliases:    CAV    

Entrez GeneID :   858    

Swissprot :   P51636    

WB Predicted band size:    18.3kDa    

Host/Isotype :   Mouse IgG1    

Species Reactivity :   Human    

Immunogen:    Purified recombinant fragment of human CAV2 (AA: 1-86) expressed in E. Coli.    

Operation

WB    1/500 - 1/2000    

IHC    1/200 - 1/1000    

FCM    1/200 - 1/400    

ELISA    1/10000    

References