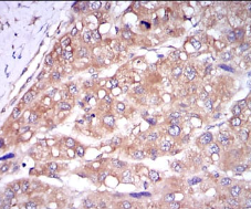
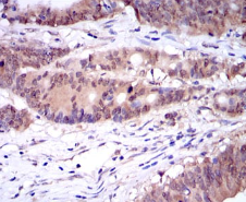
CASP8 Mouse Monoclonal antibody[1H11E]

AccuSift
CAP4; MACH; MCH5; FLICE; ALPS2B; Casp-8; FLJ17672; MGC78473
SKU Name Unit Price Delivery QTY
AC1370 CASP8 Mouse Monoclonal antibody[1H11E] 100ug $367 10days
AC1370 CASP8 Mouse Monoclonal antibody[1H11E] 200ug $660.6 10days

This gene encodes a member of the cysteine-aspartic acid protease (caspase) family. Sequential activation of caspases plays a central role in the execution-phase of cell apoptosis. Caspases exist as inactive proenzymes composed of a prodomain, a large protease subunit, and a small protease subunit. Activation of caspases requires proteolytic processing at conserved internal aspartic residues to generate a heterodimeric enzyme consisting of the large and small subunits. This protein is involved in the programmed cell death induced by Fas and various apoptotic stimuli. The N-terminal FADD-like death effector domain of this protein suggests that it may interact with Fas-interacting protein FADD. This protein was detected in the insoluble fraction of the affected brain region from Huntington disease patients but not in those from normal controls, which implicated the role in neurodegenerative diseases. Many alternatively spliced transcript variants encoding different isoforms have been described, although not all variants have had their full-length sequences determined.



Aliases :   CAP4; MACH; MCH5; FLICE; ALPS2B; Casp-8; FLJ17672; MGC78473    

Entrez GeneID:    841    

Swissprot:    Q14790    

WB Predicted band size:    26kDa    

Host/Isotype :   Mouse IgG1    

Species Reactivity:    Human,Mouse,Monkey,Rat    

Immunogen :   Purified recombinant fragment of human CASP8 expressed in E. Coli.    

Operation

WB    1/500 - 1/2000    

IHC    1/200 - 1/1000    

FCM    1/200 - 1/400    

ELISA    1/10000    

References