CASP-7 Mouse Monoclonal antibody[4D105]

AccuSift
MCH3; CMH-1; LICE2; CASP7; ICE-LAP3
SKU Name Unit Price Delivery QTY
AC1369 CASP-7 Mouse Monoclonal antibody[4D105] 100ug $367 10days
AC1369 CASP-7 Mouse Monoclonal antibody[4D105] 200ug $660.6 10days

This gene encodes a member of the cysteine-aspartic acid protease (caspase) family. Sequential activation of caspases plays a central role in the execution-phase of cell apoptosis. Caspases exist as inactive proenzymes which undergo proteolytic processing at conserved aspartic residues to produce two subunits, large and small, that dimerize to form the active enzyme. The precursor of the encoded protein is cleaved by caspase 3 and 10, is activated upon cell death stimuli and induces apoptosis. Alternatively spliced transcript variants encoding multiple isoforms have been observed for this gene.



Aliases:    MCH3; CMH-1; LICE2; CASP7; ICE-LAP3;caspase 7;caspase7    

Entrez GeneID:    840    

Swissprot:    P55210    

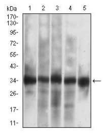
WB Predicted band size:    34.3kDa    

Host/Isotype:    Mouse IgG1    

Species Reactivity :  Human    

Immunogen :   Purified recombinant fragment of human CASP-7 (AA: 29-198) expressed in E. Coli.    

Operation

WB    1/500 - 1/2000    

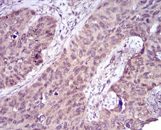
IHC    1/200 - 1/1000    

FCM    1/200 - 1/400    

ELISA    1/10000    

References