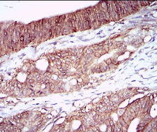
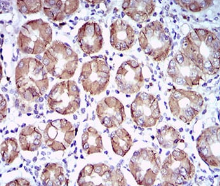
CA9 Mouse Monoclonal antibody[7C4A5]

AccuSift
MN; CAIX
SKU Name Unit Price Delivery QTY
AC1346 CA9 Mouse Monoclonal antibody[7C4A5] 100ug $367 10days
AC1346 CA9 Mouse Monoclonal antibody[7C4A5] 200ug $660.6 10days

Carbonic anhydrases (CAs) are a large family of zinc metalloenzymes that catalyze the reversible hydration of carbon dioxide. They participate in a variety of biological processes, including respiration, calcification, acid-base balance, bone resorption, and the formation of aqueous humor, cerebrospinal fluid, saliva, and gastric acid. They show extensive diversity in tissue distribution and in their subcellular localization. CA IX is a transmembrane protein and the only tumor-associated carbonic anhydrase isoenzyme known. It is expressed in all clear-cell renal cell carcinoma, but is not detected in normal kidney or most other normal tissues. It may be involved in cell proliferation and transformation. This gene was mapped to 17q21.2 by fluorescence in situ hybridization, however, radiation hybrid mapping localized it to 9p13-p12.



Aliases :   MN; CAIX    

Entrez GeneID:    768    

Swissprot :   Q16790     

WB Predicted band size :   49.7kDa    

Host/Isotype:    Mouse IgG1    

Species Reactivity :   Human    

Immunogen:    Purified recombinant fragment of human CA9 (AA: 37-186) expressed in E. Coli.    

Operation

WB    1/500 - 1/2000    

IHC    1/200 - 1/1000    

ELISA    1/10000    

References