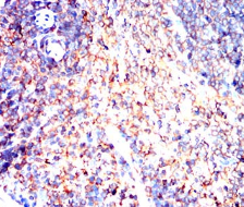
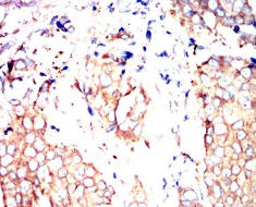
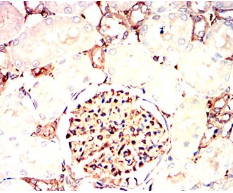
C9orf72 Mouse Monoclonal antibody[6D6F]

AccuSift
ALSFTD; DENND9; FTDALS; DENNL72; FTDALS1
SKU Name Unit Price Delivery QTY
AC1342 C9orf72 Mouse Monoclonal antibody[6D6F] 100ug $367 10days
AC1342 C9orf72 Mouse Monoclonal antibody[6D6F] 200ug $660.6 10days

The protein encoded by this gene plays an important role in the regulation of endosomal trafficking, and has been shown to interact with Rab proteins that are involved in autophagy and endocytic transport. Expansion of a GGGGCC repeat from 2-22 copies to 700-1600 copies in the intronic sequence between alternate 5' exons in transcripts from this gene is associated with 9p-linked ALS (amyotrophic lateral sclerosis) and FTD (frontotemporal dementia) (PMID: 21944778, 21944779). Studies suggest that hexanucleotide expansions could result in the selective stabilization of repeat-containing pre-mRNA, and the accumulation of insoluble dipeptide repeat protein aggregates that could be pathogenic in FTD-ALS patients (PMID: 23393093). Alternative splicing results in multiple transcript variants encoding different isoforms.



Aliases :   ALSFTD; DENND9; FTDALS; DENNL72; FTDALS1    

Entrez GeneID:    203228    

WB Predicted band size:    54.3kDa    

Host/Isotype:    Mouse IgG2b    

Species Reactivity:    Human, Mouse, Monkey, Rat    

Immunogen:    Purified recombinant fragment of human C9orf72 (AA: 110-199) expressed in E. Coli.    

Operation

WB    1/500 - 1/2000    

IHC    1/200 - 1/1000    

IF/ICC    1/200 - 1/1000    

FCM    1/200 - 1/400    

ELISA    1/10000    

References