BTRC Mouse Monoclonal antibody[4C5D8]

AccuSift
FWD1; FBW1A; FBXW1; bTrCP; FBXW1A; bTrCP1; betaTrCP; BETA-TRCP
SKU Name Unit Price Delivery QTY
AC1324 BTRC Mouse Monoclonal antibody[4C5D8] 100ug $367 10days
AC1324 BTRC Mouse Monoclonal antibody[4C5D8] 200ug $660.6 10days

This gene encodes a member of the F-box protein family which is characterized by an approximately 40 amino acid motif, the F-box. The F-box proteins constitute one of the four subunits of ubiquitin protein ligase complex called SCFs (SKP1-cullin-F-box), which function in phosphorylation-dependent ubiquitination. The F-box proteins are divided into 3 classes: Fbws containing WD-40 domains, Fbls containing leucine-rich repeats, and Fbxs containing either different protein-protein interaction modules or no recognizable motifs. The protein encoded by this gene belongs to the Fbws class; in addition to an F-box, this protein contains multiple WD-40 repeats. The encoded protein mediates degradation of CD4 via its interaction with HIV-1 Vpu. It has also been shown to ubiquitinate phosphorylated NFKBIA (nuclear factor of kappa light polypeptide gene enhancer in B-cells inhibitor, alpha), targeting it for degradation and thus activating nuclear factor kappa-B. Alternatively spliced transcript variants have been described. A related pseudogene exists in chromosome 6.



Aliases :   FWD1; FBW1A; FBXW1; bTrCP; FBXW1A; bTrCP1; betaTrCP; BETA-TRCP    

Entrez GeneID :   8945    

Swissprot :   Q9Y297     

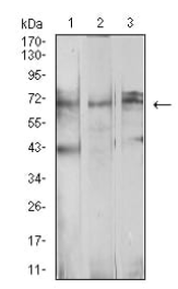
WB Predicted band size :   68.9kDa    

Host/Isotype :   Mouse IgG1    

Species Reactivity :   Human    

Immunogen :   Purified recombinant fragment of human BTRC (AA: 24-151) expressed in E. Coli.    

Operation

WB    1/500 - 1/2000    

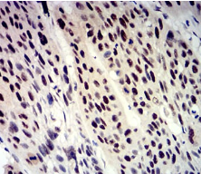
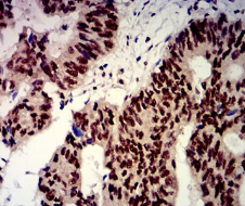
IHC    1/200 - 1/1000    

FCM    1/200 - 1/400    

ELISA    1/10000    

References