BTK Mouse Monoclonal antibody[7F123]

AccuSift
moF; KAT8; hMOF; FLJ14040; MYST1
SKU Name Unit Price Delivery QTY
AC1313 BTK Mouse Monoclonal antibody[7F123] 100ug $367 10days
AC1313 BTK Mouse Monoclonal antibody[7F123] 200ug $660.6 10days

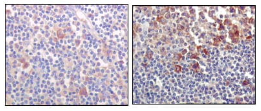
Brutons tyrosine kinase (BTK) is a member of the BTK/Tec family of cytoplasmic tyrosine kinases.All members of the family contain SH3 and SH2 domains and, with the exception of Txk and Dsrc28C, also contain a pleckstrin homology (PH) and a Tec homology (TH) domain in their amino termini.BTK plays an important role in B cell development. Activation of B cells by various ligands is accompanied by BTK membrane translocation mediated by its PH domain binding to phosphatidylinositol-3,4,5-trisphosphate. The membrane located BTK is active and associated with transient phosphorylation of two tyrosine residues, Tyr551 and Tyr223. Tyr551 in the activation loop is transphosphorylated by the Src family tyrosine kinase, leading to autophosphorylation at Tyr223 within the SH3 domain, which is necessary for full activation.



Aliases:    BTK    

Entrez GeneID:    695    

Swissprot:    Q06187    

WB Predicted band size:    77kDa    

Host/Isotype :   Mouse IgG1    

Species Reactivity:    Human,Monkey    

Immunogen:    Purified recombinant fragment of BTK expressed in E. Coli.    

Operation

WB    1/500 - 1/2000    

IHC    1/200 - 1/1000    

IF/ICC    1/200 - 1/1000    

ELISA    1/10000    

References