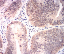
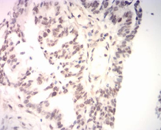
BRIP1 Mouse Monoclonal antibody[1B8F9]

AccuSift
OF; BACH1; FANCJ
SKU Name Unit Price Delivery QTY
AC1310 BRIP1 Mouse Monoclonal antibody[1B8F9] 100ug $367 10days
AC1310 BRIP1 Mouse Monoclonal antibody[1B8F9] 200ug $660.6 10days

The protein encoded by this gene is a member of the RecQ DEAH helicase family and interacts with the BRCT repeats of breast cancer, type 1 (BRCA1). The bound complex is important in the normal double-strand break repair function of breast cancer, type 1 (BRCA1). This gene may be a target of germline cancer-inducing mutations.



Aliases:    OF; BACH1; FANCJ    

Entrez GeneID:    83990    

Swissprot :   Q9BX63    

WB Predicted band size :   140.8kDa    

Host/Isotype:    Mouse IgG1    

Species Reactivity :   Human    

Immunogen:    Purified recombinant fragment of human BRIP1 (AA: 904-986) expressed in E. Coli.    

Operation

IHC    1/200 - 1/1000    

FCM    1/200 - 1/400    

ELISA    1/10000    

References