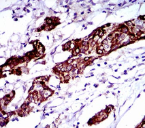
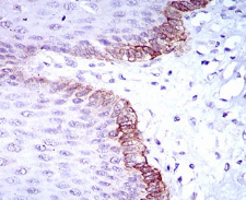
BRCA1 Mouse Monoclonal antibody[6C6D2]

AccuSift
IRIS; PSCP; BRCAI; BRCC1; PNCA4; RNF53; BROVCA1; PPP1R53
SKU Name Unit Price Delivery QTY
AC1307 BRCA1 Mouse Monoclonal antibody[6C6D2] 100ug $367 10days
AC1307 BRCA1 Mouse Monoclonal antibody[6C6D2] 200ug $660.6 10days

This gene encodes a nuclear phosphoprotein that plays a role in maintaining genomic stability, and it also acts as a tumor suppressor. The encoded protein combines with other tumor suppressors, DNA damage sensors, and signal transducers to form a large multi-subunit protein complex known as the BRCA1-associated genome surveillance complex (BASC). This gene product associates with RNA polymerase II, and through the C-terminal domain, also interacts with histone deacetylase complexes. This protein thus plays a role in transcription, DNA repair of double-stranded breaks, and recombination. Mutations in this gene are responsible for approximately 40% of inherited breast cancers and more than 80% of inherited breast and ovarian cancers. Alternative splicing plays a role in modulating the subcellular localization and physiological function of this gene. Many alternatively spliced transcript variants, some of which are disease-associated mutations, have been described for this gene, but the full-length natures of only some of these variants has been described. A related pseudogene, which is also located on chromosome 17, has been identified.


Aliases :   IRIS; PSCP; BRCAI; BRCC1; PNCA4; RNF53; BROVCA1; PPP1R53    

Entrez GeneID:    672    

Swissprot :   P38398      

WB Predicted band size:    207.7kDa    

Host/Isotype:    Mouse IgG1    

Species Reactivity:    Human    

Immunogen:    Purified recombinant fragment of human BRCA1 (AA: 229-335) expressed in E. Coli.    

Operation

IHC    1/200 - 1/1000    

ELISA    1/10000    


References