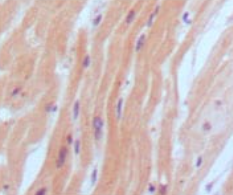
BNP Mouse Monoclonal antibody[9H6B]

AccuSift
SKU Name Unit Price Delivery QTY
AC1301 BNP Mouse Monoclonal antibody[9H6B] 100ug $367 10days
AC1301 BNP Mouse Monoclonal antibody[9H6B] 200ug $660.6 10days

BNP (brain natriuretic peptide) belongs to a family of structurally similar peptide hormones, which includes atrial natriuretic peptide (ANP), BNP, C-type natriuretic peptide (CNP) and urodilatin. ANP and BNP act mainly as cardiac hormones, produced primarily by the atrium and ventricle, respectively, while the gene encoding C-type natriuretic peptide is expressed mainly in the brain. BNP circulates in blood as a peptide hormone with natriuretic, vasodilatory and renin inhibitory properties. It is secreted predominantly by the left ventricular myocytes in response to volume expansion and pressure overload. These peptides are characterized by a common 17 amino acid ring structure with a disulfide bond between two cystein residues. This ring structure shows high homology between different natriuretic.

  

Aliases:    BNP; NPPB    

Entrez GeneID :   4879    

Swissprot :   P16860    

Host/Isotype :   Mouse IgG1    

Species Reactivity :   Human    

Immunogen :   Synthetic peptide corresponding to aa (Gly-Leu-Gln-Glu-Gln-Arg-Asn-His-Leu-Gln-Gly-Lys-Leu-Cys) of human BNP, conjugated to KLH.    

Operation

IHC    1/200 - 1/1000    

ELISA    1/10000    

References