| SKU | Name | Unit | Price | Delivery | QTY |
|---|---|---|---|---|---|
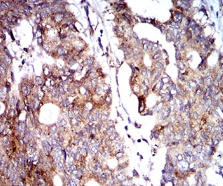
| AC1297 | BNIP3 Mouse Monoclonal antibody[6A5F7] | 100ug | $367 | 10days |
|
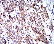
| AC1297 | BNIP3 Mouse Monoclonal antibody[6A5F7] | 200ug | $660.6 | 10days |
|

WeChat