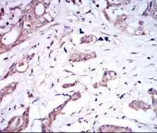
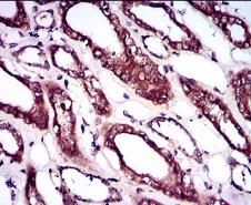
BMPR1A Mouse Monoclonal antibody[4B7P]

AccuSift
ALK3; SKR5; CD292; ACVRLK3; 10q23del
SKU Name Unit Price Delivery QTY
AC1292 BMPR1A Mouse Monoclonal antibody[4B7P] 100ug $367 10days
AC1292 BMPR1A Mouse Monoclonal antibody[4B7P] 200ug $660.6 10days

The bone morphogenetic protein (BMP) receptors are a family of transmembrane serine/threonine kinases that include the type I receptors BMPR1A and BMPR1B and the type II receptor BMPR2. These receptors are also closely related to the activin receptors, ACVR1 and ACVR2. The ligands of these receptors are members of the TGF-beta superfamily. TGF-betas and activins transduce their signals through the formation of heteromeric complexes with 2 different types of serine (threonine) kinase receptors: type I receptors of about 50-55 kD and type II receptors of about 70-80 kD. Type II receptors bind ligands in the absence of type I receptors, but they require their respective type I receptors for signaling, whereas type I receptors require their respective type II receptors for ligand binding.



Aliases:    ALK3; SKR5; CD292; ACVRLK3; 10q23del    

Entrez GeneID :   657    

Swissprot:    P36894    

WB Predicted band size:    60kDa    

Host/Isotype :   Mouse IgG1    

Species Reactivity :   Human,Mouse    

Immunogen :   Purified recombinant fragment of human BMPR1A (AA: 179-378 ) expressed in E. Coli.    

Operation

WB    1/500 - 1/2000    

IHC    1/200 - 1/1000    

IF/ICC    1/200 - 1/1000    

FCM    1/200 - 1/400    

ELISA    1/10000    

References