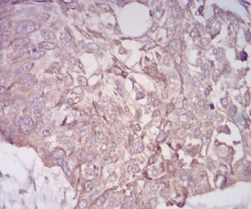
BMP7 Mouse Monoclonal antibody[6E5D]

AccuSift
OP-1
SKU Name Unit Price Delivery QTY
AC1290 BMP7 Mouse Monoclonal antibody[6E5D] 100ug $367 10days
AC1290 BMP7 Mouse Monoclonal antibody[6E5D] 200ug $660.6 10days

The bone morphogenetic proteins (BMPs) are a family of secreted signaling molecules that can induce ectopic bone growth. Many BMPs are part of the transforming growth factor-beta (TGFB) superfamily. BMPs were originally identified by an ability of demineralized bone extract to induce endochondral osteogenesis in vivo in an extraskeletal site. Based on its expression early in embryogenesis, the BMP encoded by this gene has a proposed role in early development and possible bone inductive activity.



Aliases:    OP-1    

Entrez GeneID:    655    

Swissprot :   P18075    

WB Predicted band size :   49.3kDa    

Host/Isotype:    Mouse IgG1    

Species Reactivity :   Human,Mouse    

Immunogen :   Purified recombinant fragment of human BMP7 (AA: 239-431) expressed in E. Coli.    

Operation

WB    1/500 - 1/2000    

IHC    1/200 - 1/1000    

FCM    1/200 - 1/400    

ELISA    1/10000    

References