BCL6 Mouse Monoclonal antibody[7A6D1]

AccuSift
BCL5; LAZ3; BCL6A; ZNF51; ZBTB27
SKU Name Unit Price Delivery QTY
AC1265 BCL6 Mouse Monoclonal antibody[7A6D1] 100ug $367 10days
AC1265 BCL6 Mouse Monoclonal antibody[7A6D1] 200ug $660.6 10days

The protein encoded by this gene is a zinc finger transcription factor and contains an N-terminal POZ domain. This protein acts as a sequence-specific repressor of transcription, and has been shown to modulate the transcription of STAT-dependent IL-4 responses of B cells. This protein can interact with a variety of POZ-containing proteins that function as transcription corepressors. This gene is found to be frequently translocated and hypermutated in diffuse large-cell lymphoma (DLCL), and may be involved in the pathogenesis of DLCL. Alternatively spliced transcript variants encoding different protein isoforms have been found for this gene.



Aliases  :  BCL5; LAZ3; BCL6A; ZNF51; ZBTB27    

Entrez GeneID:    604    

Swissprot:    P41182    

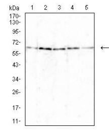
WB Predicted band size :   78.8KDa    

Host/Isotype  :  Mouse IgG1    

Species Reactivity :   Human    

Immunogen :   Purified recombinant fragment of human BCL6 (AA: 507-706) expressed in E. Coli.    

Operation

WB    1/500 - 1/2000    

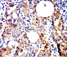
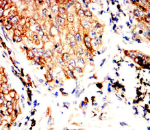
IHC    1/200 - 1/1000    

IF/ICC    1/200 - 1/1000    

FCM    1/200 - 1/400    

ELISA    1/10000    

References