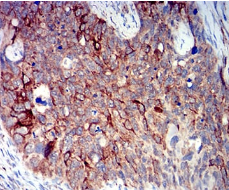
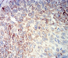
BCL2L10 Mouse Monoclonal antibody[8A2F9]

AccuSift
Boo; Diva; BCL-B; bcl2-L-10
SKU Name Unit Price Delivery QTY
AC1260 BCL2L10 Mouse Monoclonal antibody[8A2F9] 100ug $367 10days
AC1260 BCL2L10 Mouse Monoclonal antibody[8A2F9] 200ug $660.6 10days

The protein encoded by this gene belongs to the BCL-2 protein family. BCL-2 family members form hetero- or homodimers and act as anti- or pro-apoptotic regulators that are involved in a wide variety of cellular activities. The protein encoded by this gene contains conserved BH4, BH1 and BH2 domains. This protein can interact with other members of BCL-2 protein family including BCL2, BCL2L1/BCL-X(L), and BAX. Overexpression of this gene has been shown to suppress cell apoptosis possibly through the prevention of cytochrome C release from the mitochondria, and thus activating caspase-3 activation. The mouse counterpart of this protein is found to interact with Apaf1 and forms a protein complex with Caspase 9, which suggests the involvement of this protein in APAF1 and CASPASE 9 related apoptotic pathway.



Aliases :   Boo; Diva; BCL-B; bcl2-L-10    

Entrez GeneID:    10017    

Swissprot :   Q9HD36    

WB Predicted band size:    22kDa    

Host/Isotype :   Mouse IgG1    

Species Reactivity:    Human    

Immunogen :   Purified recombinant fragment of human BCL2L10 (AA: 31-186) expressed in E. Coli.    

Operation

IHC    1/200 - 1/1000    

IF/ICC    1/200 - 1/1000    

FCM    1/200 - 1/400    

ELISA    1/10000    

References