BAX Mouse Monoclonal antibody[4H9B]

AccuSift
BCL2L4
SKU Name Unit Price Delivery QTY
AC1249 BAX Mouse Monoclonal antibody[4H9B] 100ug $367 10days
AC1249 BAX Mouse Monoclonal antibody[4H9B] 200ug $660.6 10days

The protein encoded by this gene belongs to the BCL2 protein family. BCL2 family members form hetero- or homodimers and act as anti- or pro-apoptotic regulators that are involved in a wide variety of cellular activities. This protein forms a heterodimer with BCL2, and functions as an apoptotic activator. This protein is reported to interact with, and increase the opening of, the mitochondrial voltage-dependent anion channel (VDAC), which leads to the loss in membrane potential and the release of cytochrome c. The expression of this gene is regulated by the tumor suppressor P53 and has been shown to be involved in P53-mediated apoptosis. Multiple alternatively spliced transcript variants, which encode different isoforms, have been reported for this gene.



Aliases:    BCL2L4    

Entrez GeneID:    581    

Swissprot:    Q07812       

WB Predicted band size:    21.2kDa    

Host/Isotype  :  Mouse IgG2a    

Species Reactivity :   Human,Mouse,Rat,Rabbit,Monkey    

Immunogen :   Purified recombinant fragment of human BAX (AA: 13-160) expressed in E. Coli.    

Operation

WB    1/500-1/1000    

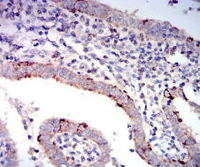
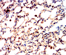
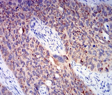
IHC    1/200 - 1/1000    

FCM    1/200 - 1/400    

ELISA    1/10000    

References