BAK1 Mouse Monoclonal antibody[2H9H7]

AccuSift
BAK; CDN1; BCL2L7; BAK-LIKE
SKU Name Unit Price Delivery QTY
AC1243 BAK1 Mouse Monoclonal antibody[2H9H7] 100ug $367 10days
AC1243 BAK1 Mouse Monoclonal antibody[2H9H7] 200ug $660.6 10days

The protein encoded by this gene belongs to the BCL2 protein family. BCL2 family members form oligomers or heterodimers and act as anti- or pro-apoptotic regulators that are involved in a wide variety of cellular activities. This protein localizes to mitochondria, and functions to induce apoptosis. It interacts with and accelerates the opening of the mitochondrial voltage-dependent anion channel, which leads to a loss in membrane potential and the release of cytochrome c. This protein also interacts with the tumor suppressor P53 after exposure to cell stress.



Aliases :   BAK; CDN1; BCL2L7; BAK-LIKE    

Entrez GeneID :   578    

Swissprot :   Q16611     

WB Predicted band size:   23.4kDa    

Host/Isotype:    Mouse IgG2b    

Species Reactivity:    Human    

Immunogen:    Purified recombinant fragment of human BAK1 (AA: 29-187) expressed in E. Coli.    

Operation

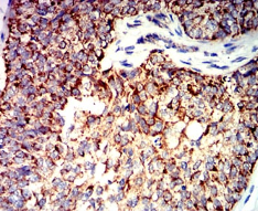
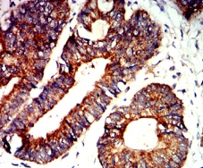
IHC    1/200 - 1/1000    

FCM    1/200 - 1/400    

ELISA    1/10000    

References