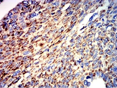
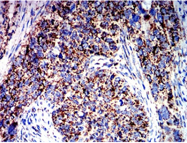
| SKU | Name | Unit | Price | Delivery | QTY |
|---|---|---|---|---|---|
| AC1212 | ATPIF1 Mouse Monoclonal antibody[1F3B8] | 100ug | $367 | 10days |
|
| AC1212 | ATPIF1 Mouse Monoclonal antibody[1F3B8] | 200ug | $660.6 | 10days |
|

WeChat