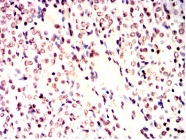
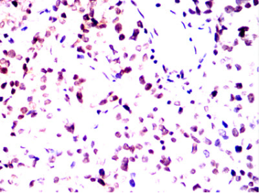
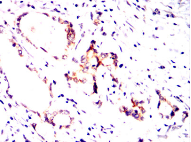
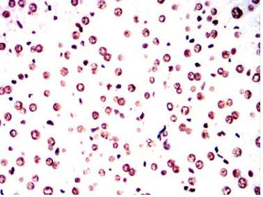
ATM Mouse Monoclonal antibody[2A7A1]

AccuSift
AT1; ATA; ATC; ATD; ATE; ATDC; TEL1; TELO1
SKU Name Unit Price Delivery QTY
AC1196 ATM Mouse Monoclonal antibody[2A7A1] 100ug $367 10days
AC1196 ATM Mouse Monoclonal antibody[2A7A1] 200ug $660.6 10days

The protein encoded by this gene belongs to the PI3/PI4-kinase family. This protein is an important cell cycle checkpoint kinase that phosphorylates; thus, it functions as a regulator of a wide variety of downstream proteins, including tumor suppressor proteins p53 and BRCA1, checkpoint kinase CHK2, checkpoint proteins RAD17 and RAD9, and DNA repair protein NBS1. This protein and the closely related kinase ATR are thought to be master controllers of cell cycle checkpoint signaling pathways that are required for cell response to DNA damage and for genome stability. Mutations in this gene are associated with ataxia telangiectasia, an autosomal recessive disorder.

    

Aliases : AT1; ATA; ATC; ATD; ATE; ATDC; TEL1; TELO1    

Entrez GeneID:  472    

Swissprot:  Q13315    

WB Predicted band size : 350.7kDa    

Host/Isotype :   Mouse IgG2a    

Species Reactivity :  Human,Mouse    

Immunogen : Purified recombinant fragment of human ATM (AA: 2577-3056) expressed in E. Coli.    

Operation

IHC    1/200 - 1/1000    

FCM    1/200 - 1/400    

ELISA    1/10000    

References