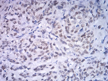
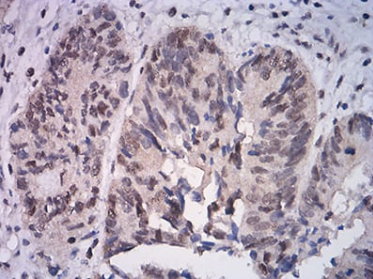
ATF4 Mouse Monoclonal antibody[2A6F1]

AccuSift
CREB2; TXREB; CREB-2; TAXREB67
SKU Name Unit Price Delivery QTY
AC1174 ATF4 Mouse Monoclonal antibody[2A6F1] 100ug $367 10days
AC1174 ATF4 Mouse Monoclonal antibody[2A6F1] 200ug $660.6 10days

This gene encodes a transcription factor that was originally identified as a widely expressed mammalian DNA binding protein that could bind a tax-responsive enhancer element in the LTR of HTLV-1. The encoded protein was also isolated and characterized as the cAMP-response element binding protein 2 (CREB-2). The protein encoded by this gene belongs to a family of DNA-binding proteins that includes the AP-1 family of transcription factors, cAMP-response element binding proteins (CREBs) and CREB-like proteins. These transcription factors share a leucine zipper region that is involved in protein-protein interactions, located C-terminal to a stretch of basic amino acids that functions as a DNA binding domain. Two alternative transcripts encoding the same protein have been described. Two pseudogenes are located on the X chromosome at q28 in a region containing a large inverted duplication.

    

Aliases : CREB2; TXREB; CREB-2; TAXREB67    

Entrez GeneID:  468    

Swissprot:   P18848      

WB Predicted band size:  38.6kDa    

Host/Isotype:  Mouse IgG1    

Species Reactivity : Human    

Immunogen:  Purified recombinant fragment of human ATF4 (AA: 212-351) expressed in E. Coli.    

Operation

WB    1/500 - 1/2000    

IHC    1/200 - 1/1000    

ELISA    1/10000    

References