ASS1 Mouse Monoclonal antibody[2B10B]

AccuSift
ASS; CTLN1
SKU Name Unit Price Delivery QTY
AC1169 ASS1 Mouse Monoclonal antibody[2B10B] 100ug $367 10days
AC1169 ASS1 Mouse Monoclonal antibody[2B10B] 200ug $660.6 10days

The protein encoded by this gene catalyzes the penultimate step of the arginine biosynthetic pathway. There are approximately 10 to 14 copies of this gene including the pseudogenes scattered across the human genome, among which the one located on chromosome 9 appears to be the only functional gene for argininosuccinate synthetase. Mutations in the chromosome 9 copy of ASS cause citrullinemia. Two transcript variants encoding the same protein have been found for this gene.

    

Aliases :   ASS; CTLN1    

Entrez GeneID :   445    

Swissprot:  P00966    

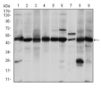
WB Predicted band size :  47kDa    

Host/Isotype :   Mouse IgG1       

Species Reactivity:   Human,Mouse,Rat,Monkey    

Immunogen:   Purified recombinant fragment of human ASS1 expressed in E. Coli.    


Operation

WB    1/500 - 1/2000    

IF/ICC    1/200 - 1/1000    

FCM    1/200 - 1/400    

ELISA    1/10000    

References