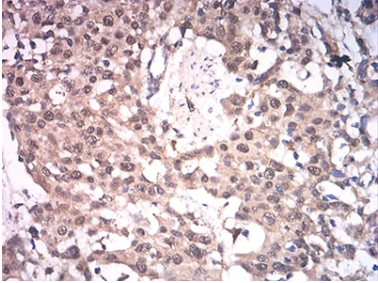
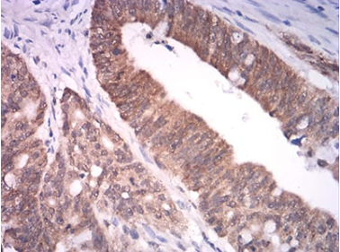
ASH2L Mouse Monoclonal antibody[6BH10]

AccuSift
ASH2; Bre2; ASH2L1; ASH2L2
SKU Name Unit Price Delivery QTY
AC1167 ASH2L Mouse Monoclonal antibody[6BH10] 100ug $367 10days
AC1167 ASH2L Mouse Monoclonal antibody[6BH10] 200ug $660.6 10days

ASH2L (ASH2 Like Histone Lysine Methyltransferase Complex Subunit) is a Protein Coding gene. Diseases associated with ASH2L include Kabuki Syndrome 1. Among its related pathways are Chromatin organization and Signaling by GPCR. GO annotations related to this gene include transcription regulatory region DNA binding and histone methyltransferase activity (H3-K4 specific).

    

Aliases :   ASH2; Bre2; ASH2L1; ASH2L2    

Entrez GeneID:   9070    

Swissprot:  Q9UBL3    

WB Predicted band size :  68.7kDa    

Host/Isotype:  Mouse IgG1    

Species Reactivity:   Human    

Immunogen:   Purified recombinant fragment of human ASH2L (AA: 493-628) expressed in E. Coli.    


Operation

IHC    1/200 - 1/1000    

ELISA    1/10000    

References