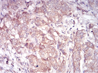
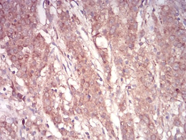
ARF1 Mouse Monoclonal antibody[8D8E9]

AccuSift
SKU Name Unit Price Delivery QTY
AC1154 ARF1 Mouse Monoclonal antibody[8D8E9] 100ug $367 10days
AC1154 ARF1 Mouse Monoclonal antibody[8D8E9] 200ug $660.6 10days


ADP-ribosylation factor 1 (ARF1) is a member of the human ARF gene family. The family members encode small guanine nucleotide-binding proteins that stimulate the ADP-ribosyltransferase activity of cholera toxin and play a role in vesicular trafficking as activators of phospholipase D. The gene products, including 6 ARF proteins and 11 ARF-like proteins, constitute a family of the RAS superfamily. The ARF proteins are categorized as class I (ARF1, ARF2 and ARF3), class II (ARF4 and ARF5) and class III (ARF6), and members of each class share a common gene organization. The ARF1 protein is localized to the Golgi apparatus and has a central role in intra-Golgi transport. Multiple alternatively spliced transcript variants encoding the same protein have been found for this gene.

   

Entrez GeneID :   375    

Swissprot :  P84077    

WB Predicted band size :  20.7kDa    

Host/Isotype :   Mouse IgG2a    

Species Reactivity:   Human    

Immunogen :  Purified recombinant fragment of human ARF1 (AA: 76-182) expressed in E. Coli.    


Operation

IHC    1/200 - 1/1000    

IF/ICC    1/200 - 1/1000    

FCM    1/200 - 1/400    

ELISA    1/10000    

References