ApoE Mouse Monoclonal antibody[1H4A1]

AccuSift
AD2; LPG; LDLCQ5; MGC1571
SKU Name Unit Price Delivery QTY
AC1143 ApoE Mouse Monoclonal antibody[1H4A1] 100ug $367 10days
AC1143 ApoE Mouse Monoclonal antibody[1H4A1] 200ug $660.6 10days

Chylomicron remnants and very low density lipoprotein (VLDL) remnants are rapidly removed from the circulation by receptor-mediated endocytosis in the liver. Apolipoprotein E, a main apoprotein of the chylomicron, binds to a specific receptor on liver cells and peripheral cells. ApoE is essential for the normal catabolism of triglyceride-rich lipoprotein constituents. The APOE gene is mapped to chromosome 19 in a cluster with APOC1 and APOC2. Defects in apolipoprotein E result in familial dysbetalipoproteinemia, or type III hyperlipoproteinemia (HLP III), in which increased plasma cholesterol and triglycerides are the consequence of impaired clearance of chylomicron and VLDL remnants. Tissue specificity: Occurs in all lipoprotein fractions in plasma. It constitutes 10-20% of very low density lipoproteins (VLDL) and 1-2% of high density lipoproteins (HDL). APOE is produced in most organs. Significant quantities are produced in liver, brain, spleen, lung, adrenal, ovary, kidney and muscle.

    

Aliases :   AD2; LPG; LDLCQ5; MGC1571    

Entrez GeneID : 348    

Swissprot:  P02649     

WB Predicted band size:   36kDa    

Host/Isotype :  Mouse IgG1    

Species Reactivity:  Human    

Immunogen:   Purified recombinant fragment of human ApoE expressed in E. Coli.    


Operation

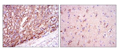
IHC    1/200 - 1/1000    

FCM    1/200 - 1/400    

ELISA    1/10000    

References