APOA4 Mouse Monoclonal antibody[2D1C9]

AccuSift
SKU Name Unit Price Delivery QTY
AC1138 APOA4 Mouse Monoclonal antibody[2D1C9] 100ug $367 10days
AC1138 APOA4 Mouse Monoclonal antibody[2D1C9] 200ug $660.6 10days

APOA4: apolipoprotein A-IV. Apoliprotein (apo) A-IV gene contains 3 exons separated by two introns. A sequence polymorphism has been identified in the 3'UTR of the third exon. The primary translation product is a 396-residue preprotein which after proteolytic processing is secreted its primary site of synthesis, the intestine, in association with chylomicron particles. Although its precise function is not known, apo A-IV is a potent activator of lecithin-cholesterol acyltransferase in vitro.

    

Entrez GeneID:  337    

Swissprot :   P06727    

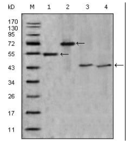
WB Predicted band size:  45kDa    

Host/Isotype :   Mouse IgG1    

Species Reactivity:   Human    

Immunogen :  Purified recombinant fragment of APOA4 (aa21-396) expressed in E. Coli.    


Operation

WB    1/500 - 1/2000    

ELISA    1/10000    

References