APEX1 Mouse Monoclonal antibody[7A2G7]

AccuSift
APE; APX; APE1; APEN; APEX; HAP1; REF1
SKU Name Unit Price Delivery QTY
AC1135 APEX1 Mouse Monoclonal antibody[7A2G7] 100ug $367 10days
AC1135 APEX1 Mouse Monoclonal antibody[7A2G7] 200ug $660.6 10days

Apurinic/apyrimidinic (AP) sites occur frequently in DNA molecules by spontaneous hydrolysis, by DNA damaging agents or by DNA glycosylases that remove specific abnormal bases. AP sites are pre-mutagenic lesions that can prevent normal DNA replication so the cell contains systems to identify and repair such sites. Class II AP endonucleases cleave the phosphodiester backbone 5' to the AP site. This gene encodes the major AP endonuclease in human cells. Splice variants have been found for this gene; all encode the same protein.

    

Aliases :  APE; APX; APE1; APEN; APEX; HAP1; REF1    

Entrez GeneID :   328    

Swissprot:   P27695        

WB Predicted band size :   35.6kDa    

Host/Isotype :   Mouse IgG1    

Species Reactivity :   Human,Rat,Monkey    

Immunogen :   Purified recombinant fragment of human APEX1 (AA: 219-318) expressed in E. Coli.    

Operation

WB    1/500 - 1/2000    

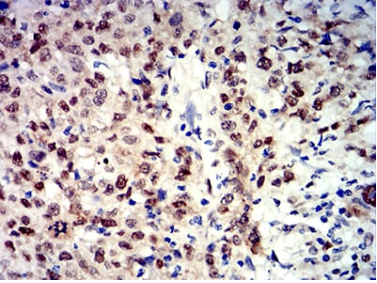
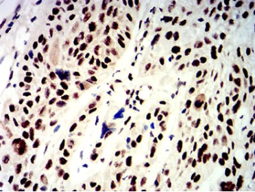
IHC    1/200 - 1/1000    

FCM    1/200 - 1/400    

ELISA    1/10000    

References