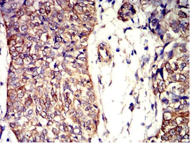
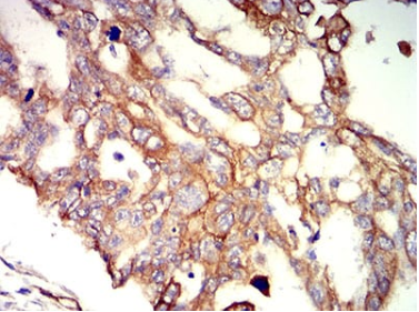
APC2 Mouse Monoclonal antibody[3A2G2]

AccuSift
APCL
SKU Name Unit Price Delivery QTY
AC1134 APC2 Mouse Monoclonal antibody[3A2G2] 100ug $367 10days
AC1134 APC2 Mouse Monoclonal antibody[3A2G2] 200ug $660.6 10days

This gene encodes a strongly conserved protein that has an N-terminal coiled-coil domain followed by an armadillo domain, five 20-amino acid repeats, and two SAMP domains. This protein promotes the assembly of a multiprotein complex that recruits and phosphorylates the Wnt effector beta-catenin and targets beta-catenin for ubiquitylation and proteasomal degradation. This protein therefore plays a role in the reduction of cytoplasmic levels of beta-catenin which in turn reduces activation of Wnt target genes that play a pivotal role in the pathogenesis of various human cancers. The protein encoded by this gene is closely related to the adenomatous polyposis coli (APC) tumor-suppressor protein and has similar tumor-suppressor effects. This gene also plays a role in actin assembly, cell-cell adhesion, and microtubule network formation through its interaction with cytoskeletal proteins. This gene has its highest expression in the central nervous system and is involved in brain development through cytoskeletal regulation in neurons. Alternative splicing produces multiple transcript variants encoding distinct isoforms.

    

Aliases :  APCL    

Entrez GeneID :  10297    

Swissprot :  O95996    

WB Predicted band size :  244kDa    

Host/Isotype :   Mouse IgG1    

Species Reactivity :  Human    

Immunogen :   Purified recombinant fragment of human APC2 (AA: 2041-2181) expressed in E. Coli.    

Operation

IHC    1/200 - 1/1000    

IF/ICC    1/200 - 1/1000    

FCM    1/200 - 1/400    

ELISA    1/10000    

References