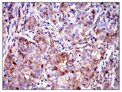
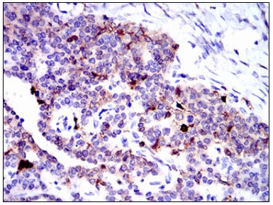
ANXA1 Mouse Monoclonal antibody[2F1C11]

AccuSift
ANX1; LPC1
SKU Name Unit Price Delivery QTY
AC1122 ANXA1 Mouse Monoclonal antibody[2F1C11] 100ug $367 10days
AC1122 ANXA1 Mouse Monoclonal antibody[2F1C11] 200ug $660.6 10days

Annexin I belongs to a family of Ca(2+)-dependent phospholipid binding proteins which have a molecular weight of approximately 35,000 to 40,000 and are preferentially located on the cytosolic face of the plasma membrane. Annexin I protein has an apparent relative molecular mass of 40 kDa, with phospholipase A2 inhibitory activity. Since phospholipase A2 is required for the biosynthesis of the potent mediators of inflammation, prostaglandins and leukotrienes, annexin I may have potential anti-inflammatory activity.

   

Aliases :   ANX1; LPC1    

Entrez GeneID:  301    

Swissprot:  P04083    

WB Predicted band size :   38.7kDa    

Host/Isotype:   Mouse IgG1    

Species Reactivity :   Human,Mouse,Monkey    

Immunogen :   Purified recombinant fragment of human ANXA1 (AA: 144-248 ) expressed in E. Coli.    


Operation

WB    1/500 - 1/2000    

IHC    1/200 - 1/1000    

ELISA    1/10000    

References