ALDH2 Mouse Monoclonal antibody[4G68]

AccuSift
ALDM; ALDHI; ALDH-E2
SKU Name Unit Price Delivery QTY
AC1094 ALDH2 Mouse Monoclonal antibody[4G68] 100ug $367 10days
AC1094 ALDH2 Mouse Monoclonal antibody[4G68] 200ug $660.6 10days

This protein belongs to the aldehyde dehydrogenase family of proteins. Aldehyde dehydrogenase is the second enzyme of the major oxidative pathway of alcohol metabolism. Two major liver isoforms of aldehyde dehydrogenase, cytosolic and mitochondrial, can be distinguished by their electrophoretic mobilities, kinetic properties, and subcellular localizations. Most Caucasians have two major isozymes, while approximately 50% of Orientals have the cytosolic isozyme but not the mitochondrial isozyme. A remarkably higher frequency of acute alcohol intoxication among Orientals than among Caucasians could be related to the absence of a catalytically active form of the mitochondrial isozyme. The increased exposure to acetaldehyde in individuals with the catalytically inactive form may also confer greater susceptibility to many types of cancer. This gene encodes a mitochondrial isoform, which has a low Km for acetaldehydes, and is localized in mitochondrial matrix. Alternative splicing results in multiple transcript variants encoding distinct isoforms.



Aliases    ALDM; ALDHI; ALDH-E2    

Entrez GeneID    217    

Swissprot    P05091    

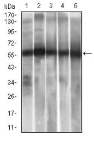
WB Predicted band size    56.3kDa    

Host/Isotype    Mouse IgG1    

Species Reactivity    Human,Mouse,Rat    

Immunogen    Purified recombinant fragment of human ALDH2 (AA: 317-517) expressed in E. Coli.    


Operation

WB    1/500 - 1/2000    

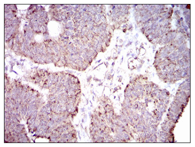
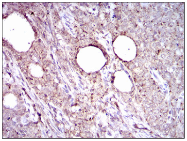
IHC    1/200 - 1/1000    

IF/ICC    1/150    

FCM    1/200 - 1/400    

ELISA    1/10000    

References