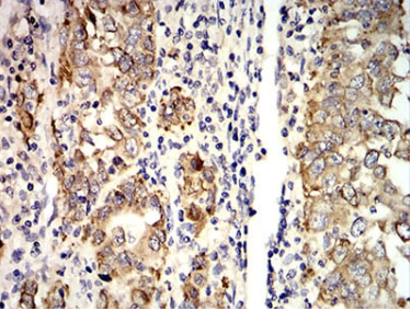
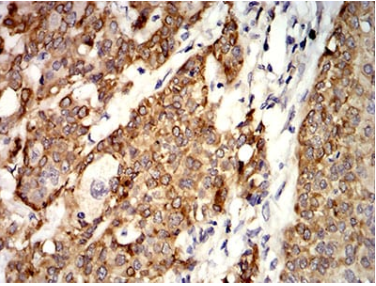
AGR2 Mouse Monoclonal antibody[5G1F8]

AccuSift
AG2; GOB-4; HAG-2; XAG-2; PDIA17; HEL-S-116
SKU Name Unit Price Delivery QTY
AC1061 AGR2 Mouse Monoclonal antibody[5G1F8] 100ug $367 10days
AC1061 AGR2 Mouse Monoclonal antibody[5G1F8] 200ug $660.6 10days


AGR2 (Anterior Gradient 2, Protein Disulphide Isomerase Family Member) is a Protein Coding gene. Diseases associated with AGR2 include pancreatic ductal adenocarcinoma. Among its related pathways are Tyrosine Kinases / Adaptors and Adhesion. GO annotations related to this gene include dystroglycan binding. An important paralog of this gene is TXNDC12.

    



Aliases:    AG2; GOB-4; HAG-2; XAG-2; PDIA17; HEL-S-116    

Entrez GeneID:    10551    

Swissprot :   O95994        

WB Predicted band size:   20kDa    

Host/Isotype:   Mouse IgG1    

Species Reactivity:   Human    

Immunogen:   Purified recombinant fragment of human AGR2 (AA: 21-175) expressed in E. Coli.    


Operation

IHC    1/200 - 1/1000    

FCM    1/200 - 1/400    

ELISA    1/10000    

References