AEBP2 Mouse Monoclonal antibody[2D7B6]

AccuSift
SKU Name Unit Price Delivery QTY
AC1055 AEBP2 Mouse Monoclonal antibody[2D7B6] 100ug $367 10days
AC1055 AEBP2 Mouse Monoclonal antibody[2D7B6] 200ug $660.6 10days

AEBP2 (AE Binding Protein 2) is a Protein Coding gene. Among its related pathways are Chromatin organization and Activated PKN1 stimulates transcription of AR (androgen receptor) regulated genes KLK2 and KLK3. GO annotations related to this gene include RNA polymerase II core promoter proximal region sequence-specific DNA binding and transcriptional repressor activity, RNA polymerase II core promoter proximal region sequence-specific binding.

    

Entrez GeneID :   121536    

Swissprot :   Q6ZN18    

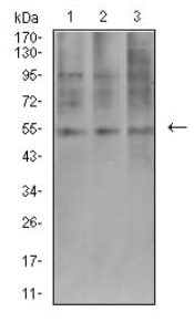
WB Predicted band size :   54.5kDa    

Host/Isotype :   Mouse IgG1    

Species Reactivity :  Human    

Immunogen :   Purified recombinant fragment of human AEBP2 (AA: 358-495) expressed in E. Coli.    


Operation

WB    1/500 - 1/2000    

IF/ICC    1/100 - 1/500    

FCM    1/200 - 1/400    

ELISA    1/10000    

References