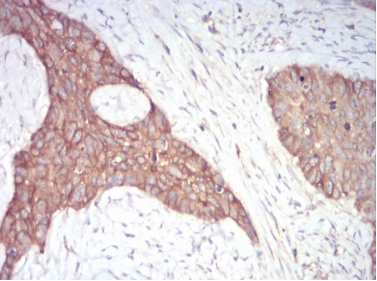
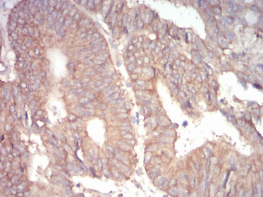
ADD1 Mouse Monoclonal antibody[5D4H1]

AccuSift
ADDA
SKU Name Unit Price Delivery QTY
AC1049 ADD1 Mouse Monoclonal antibody[5D4H1] 100ug $367 10days
AC1049 ADD1 Mouse Monoclonal antibody[5D4H1] 200ug $660.6 10days

Adducins are a family of cytoskeleton proteins encoded by three genes (alpha, beta, gamma). Adducin is a heterodimeric protein that consists of related subunits, which are produced from distinct genes but share a similar structure. Alpha- and beta-adducin include a protease-resistant N-terminal region and a protease-sensitive, hydrophilic C-terminal region. Alpha- and gamma-adducins are ubiquitously expressed. In contrast, beta-adducin is expressed at high levels in brain and hematopoietic tissues. Adducin binds with high affinity to Ca(2+)/calmodulin and is a substrate for protein kinases A and C. Alternative splicing results in multiple variants encoding distinct isoforms; however, not all variants have been fully described.


Aliases :   ADDA    

Entrez GeneID:    118    

Swissprot:    P35611    

WB Predicted band size:    81kDa    

Host/Isotype:    Mouse IgG1     

Species Reactivity:    Human    

Immunogen:    Purified recombinant fragment of human ADD1 (AA: 1-193) expressed in E. Coli.    


Operation

IHC    1/200 - 1/1000    

ELISA    1/10000    

References