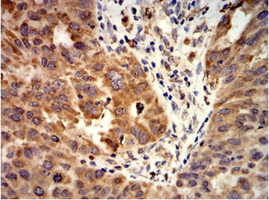
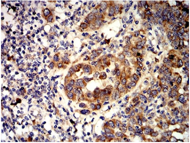
ACVR1 Mouse Monoclonal antibody[2E2C1]

AccuSift
FOP; ALK2; SKR1; TSRI; ACTRI; ACVR1A; ACVRLK2
SKU Name Unit Price Delivery QTY
AC1042 ACVR1 Mouse Monoclonal antibody[2E2C1] 100ug $367 10days
AC1042 ACVR1 Mouse Monoclonal antibody[2E2C1] 200ug $660.6 10days

Activins are dimeric growth and differentiation factors which belong to the transforming growth factor-beta (TGF-beta) superfamily of structurally related signaling proteins. Activins signal through a heteromeric complex of receptor serine kinases which include at least two type I ( I and IB) and two type II (II and IIB) receptors. These receptors are all transmembrane proteins, composed of a ligand-binding extracellular domain with cysteine-rich region, a transmembrane domain, and a cytoplasmic domain with predicted serine/threonine specificity. Type I receptors are essential for signaling; and type II receptors are required for binding ligands and for expression of type I receptors. Type I and II receptors form a stable complex after ligand binding, resulting in phosphorylation of type I receptors by type II receptors. This gene encodes activin A type I receptor which signals a particular transcriptional response in concert with activin type II receptors. Mutations in this gene are associated with fibrodysplasia ossificans progressive.


Aliases  :  FOP; ALK2; SKR1; TSRI; ACTRI; ACVR1A; ACVRLK2    

Entrez GeneID :   90    

Swissprot:    Q04771    

WB Predicted band size:    57.2kDa    

Host/Isotype:    Mouse IgG1       

Species Reactivity :   Human    

Immunogen:    Purified recombinant fragment of human ACVR1 (AA: 21-120) expressed in E. Coli.       


Operation

IHC    1/200 - 1/1000    

IF/ICC    1/200 - 1/1000    

FCM    1/200 - 1/400    

ELISA    1/10000    

References