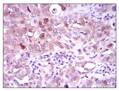
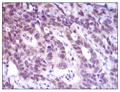
ACLY Mouse Monoclonal antibody[5F8D1]

AccuSift
ACL; ATPCL; CLATP
SKU Name Unit Price Delivery QTY
AC1024 ACLY Mouse Monoclonal antibody[5F8D1] 100ug $367 10days
AC1024 ACLY Mouse Monoclonal antibody[5F8D1] 200ug $660.6 10days

ATP citrate lyase is the primary enzyme responsible for the synthesis of cytosolic acetyl-CoA in many tissues. The enzyme is a tetramer (relative molecular weight approximately 440,000) of apparently identical subunits. It catalyzes the formation of acetyl-CoA and oxaloacetate from citrate and CoA with a concomitant hydrolysis of ATP to ADP and phosphate. The product, acetyl-CoA, serves several important biosynthetic pathways, including lipogenesis and cholesterogenesis. In nervous tissue, ATP citrate-lyase may be involved in the biosynthesis of acetylcholine. Two transcript variants encoding distinct isoforms have been identified for this gene.

Aliases:   ACL; ATPCL; CLATP    

Entrez GeneID:   47    

Swissprot:    P53396        

WB Predicted band size:    125kDa    

Host/Isotype :   Mouse IgG1    

Species Reactivity:   Human,Mouse,Rat,Monkey,Rabbit    

Immunogen:    Purified recombinant fragment of human ACLY (AA: 306-502 ) expressed in E. Coli.     

Operation

WB    1/500 - 1/2000    

IHC    1/100 - 1/500    

IF/ICC    1/50 - 1/500    

FCM    1/200 - 1/400    

ELISA    1/10000    

References