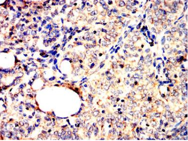
ACADM Mouse Monoclonal antibody[6F2G]

AccuSift
MCAD; ACAD1; MCADH
SKU Name Unit Price Delivery QTY
AC1022 ACADM Mouse Monoclonal antibody[6F2G] 100ug $367 10days
AC1022 ACADM Mouse Monoclonal antibody[6F2G] 200ug $660.6 10days

This gene encodes the medium-chain specific (C4 to C12 straight chain) acyl-Coenzyme A dehydrogenase. The homotetramer enzyme catalyzes the initial step of the mitochondrial fatty acid beta-oxidation pathway. Defects in this gene cause medium-chain acyl-CoA dehydrogenase deficiency, a disease characterized by hepatic dysfunction, fasting hypoglycemia, and encephalopathy, which can result in infantile death. Alternatively spliced transcript variants encoding different isoforms have been found for this gene.


Aliases:   MCAD; ACAD1; MCADH    

Entrez GeneID:    34    

Swissprot:   P11310       

WB Predicted band size:    46.6KDa    

Host/Isotype:    Mouse IgG1    

Species Reactivity:   Human    

Immunogen:   Purified recombinant fragment of human ACADM (AA: 26-185) expressed in E. Coli.    

Operation

WB    1/500 - 1/2000    

IHC    1/200 - 1/1000    

IF/ICC    1/200 - 1/1000    

FCM    1/200 - 1/400    

ELISA    1/10000    

References