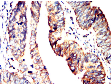
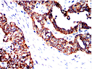
| SKU | Name | Unit | Price | Delivery | QTY |
|---|---|---|---|---|---|
| AC1021 | ACAA1 Mouse Monoclonal antibody[8E7D11] | 100ug | $367 | 10days |
|
| AC1021 | ACAA1 Mouse Monoclonal antibody[8E7D11] | 200ug | $660.6 | 10days |
|

WeChat