ZAP70 Mouse Monoclonal antibody[3D2A4]

AccuSift
SRK; STD; TZK; ZAP-70; FLJ17670; FLJ17679; ZAP70
SKU Name Unit Price Delivery QTY
AC3847 ZAP70 Mouse Monoclonal antibody[3D2A4] 100ug $367 10days
AC3847 ZAP70 Mouse Monoclonal antibody[3D2A4] 200ug $660.6 10days

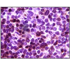
ZAP70 (zeta-chain associated protein kinase), a 70 kDa member of the SYK tyrosine kinase family, plays a central role in lymphocyte activation and development, and is implicated in several immune disorders. ZAP70 controls TCR(T-cell antigen receptor)-linked signal transduction pathways. Its key role in thymocytes development and mature T lymphocytes activation has been illustrated by the characterization of several human immunodeficiencies presenting with mutations in the ZAP70 gene. ZAP70 is also expressed in several types of B-cell neoplasm and is easily detected by immunohistochemistry, providing a useful prognostic marker in patients with chronic lymphocytic leukaemia.


Aliases :   SRK; STD; TZK    

Entrez GeneID:   7535    

Swissprot :   P43403    

WB Predicted band size :   70kDa    

Host/Isotype:    Mouse IgG1    

Species Reactivity :   Human    

Immunogen:    Purified recombinant fragment of human ZAP70 expressed in E. Coli.    


Operation

WB:    1/500 - 1/2000    

IHC:    1/200 - 1/1000    

ELISA:    1/10000    

References