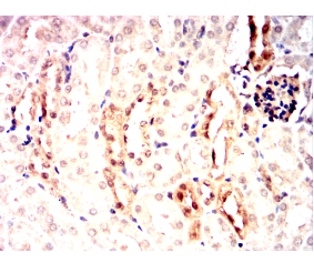
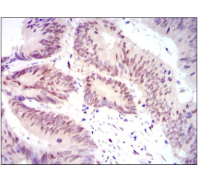
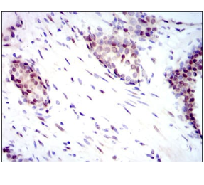
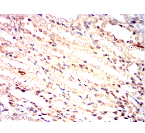
YAP1 Mouse Monoclonal antibody[1A19]

AccuSift
YAP; YKI; YAP2; YAP65
SKU Name Unit Price Delivery QTY
AC3841 YAP1 Mouse Monoclonal antibody[1A19] 100ug $367 10days
AC3841 YAP1 Mouse Monoclonal antibody[1A19] 200ug $660.6 10days

This gene encodes the human ortholog of chicken YAP protein which binds to the SH3 domain of the Yes proto-oncogene product. This protein contains a WW domain that is found in various structural, regulatory and signaling molecules in yeast, nematode, and mammals, and may be involved in protein-protein interaction.


Aliases:    YAP; YKI; YAP2; YAP65    

Entrez GeneID:    10413    

Swissprot:    P46937    

Host/Isotype:    Mouse IgG1    

Species Reactivity:    Human,Mouse,Rat,Monkey,Rabbit    

Immunogen:    Purified recombinant fragment of human YAP1 expressed in E. Coli.    


Operation

WB    1/500 - 1/2000    

IHC    1/100 - 1/500    

FCM    1/200 - 1/400    

ELISA    1/10000    

References