| SKU | Name | Unit | Price | Delivery | QTY |
|---|---|---|---|---|---|
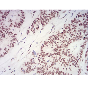
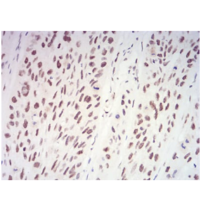
| AC3840 | XRN2 Mouse Monoclonal antibody[9F7G1] | 100ug | $367 | 10days |
|
| AC3840 | XRN2 Mouse Monoclonal antibody[9F7G1] | 200ug | $660.6 | 10days |
|

WeChat