WTAP Mouse Monoclonal antibody[6B6B8]

AccuSift
PNAS-132;hFL(2)D;KIAA0105
SKU Name Unit Price Delivery QTY
AC3829 WTAP Mouse Monoclonal antibody[6B6B8] 100ug $367 10days
AC3829 WTAP Mouse Monoclonal antibody[6B6B8] 200ug $660.6 10days

The Wilms tumor suppressor gene WT1 appears to play a role in both transcriptional and posttranscriptional regulation of certain cellular genes. This gene encodes a WT1-associating protein, which is a ubiquitously expressed nuclear protein. Like WT1 protein, this protein is localized throughout the nucleoplasm as well as in speckles and partially colocalizes with splicing factors. Alternative splicing of this gene results in several transcript variants encoding three different isoforms.


Aliases:    PNAS-132;hFL(2)D;KIAA0105    

Entrez GeneID:    9589    

Swissprot:    Q15007    

WB Predicted band size:    44.2kDa    

Host/Isotype:    Mouse IgG1    

Species Reactivity:    Human    

Immunogen :   Purified recombinant fragment of human WTAP (AA: 91-201) expressed in E. Coli.   

Operation

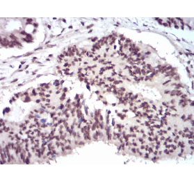
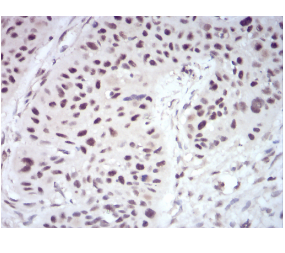
IHC    1/200 - 1/1000    

FCM    1/200 - 1/400    

ELISA    1/10000    

References