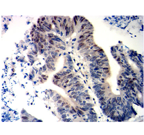
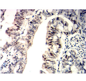
WT1 Mouse Monoclonal antibody[7F9E8]

AccuSift
GUD; AWT1; WAGR; WT33; NPHS4; WIT-2
SKU Name Unit Price Delivery QTY
AC3826 WT1 Mouse Monoclonal antibody[7F9E8] 100ug $367 10days
AC3826 WT1 Mouse Monoclonal antibody[7F9E8] 200ug $660.6 10days

This gene encodes a transcription factor that contains four zinc-finger motifs at the C-terminus and a proline/glutamine-rich DNA-binding domain at the N-terminus. It has an essential role in the normal development of the urogenital system, and it is mutated in a small subset of patients with Wilms tumor. This gene exhibits complex tissue-specific and polymorphic imprinting pattern, with biallelic, and monoallelic expression from the maternal and paternal alleles in different tissues. Multiple transcript variants have been described. In several variants, there is evidence for the use of a non-AUG (CUG) translation initiation codon upstream of, and in-frame with the first AUG. Authors of PMID:7926762 also provide evidence that WT1 mRNA undergoes RNA editing in human and rat, and that this process is tissue-restricted and developmentally regulated.


Aliases:    GUD; AWT1; WAGR; WT33; NPHS4; WIT-2    

Entrez GeneID:    7490    

Swissprot:    P19544    

WB Predicted band size :   49.2kDa    

Host/Isotype:    Mouse IgG1    

Species Reactivity:    Human, Monkey    

Immunogen:    Purified recombinant fragment of human WT1 (AA: 1-181) expressed in E. Coli.    


Operation

WB    1/500 - 1/2000    

IHC    1/200-1/1000    

IF/ICC    1/200 - 1/1000    

FCM    1/200-1/400    

ELISA    1/10000    

References