WIF1 Mouse Monoclonal antibody[1G5E7]

AccuSift
WIF-1; WIF
SKU Name Unit Price Delivery QTY
AC3819 WIF1 Mouse Monoclonal antibody[1G5E7] 100ug $367 10days
AC3819 WIF1 Mouse Monoclonal antibody[1G5E7] 200ug $660.6 10days

The protein encoded by this gene functions to inhibit WNT proteins, which are extracellular signaling molecules that play a role in embryonic development. This protein contains a WNT inhibitory factor (WIF) domain and five epidermal growth factor (EGF)-like domains, and is thought to be involved in mesoderm segmentation. This gene functions as a tumor suppressor gene, and has been found to be epigenetically silenced in various cancers.


Aliases:    WIF-1; WIF    

Entrez GeneID:    11197    

Swissprot:    Q9Y5W5    

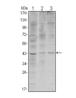
WB Predicted band size:    42kDa    

Host/Isotype:    Mouse IgG1    

Species Reactivity:    Human    

Immunogen:    Purified recombinant fragment of human WIF1 expressed in E. Coli.    


Operation

WB    1/500 - 1/2000    

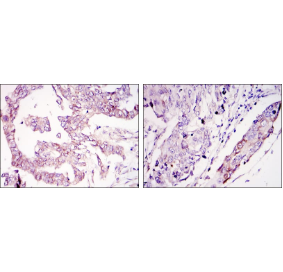
IHC    1/200 - 1/1000    

IF/ICC    1/200 - 1/1000    

ELISA    1/10000    

References