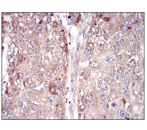
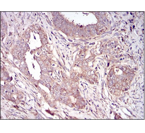
VTN Mouse Monoclonal antibody[1G18]

AccuSift
VN; V75; VNT
SKU Name Unit Price Delivery QTY
AC3811 VTN Mouse Monoclonal antibody[1G18] 100ug $367 10days
AC3811 VTN Mouse Monoclonal antibody[1G18] 200ug $660.6 10days

The protein encoded by this gene is a member of the pexin family. It is found in serum and tissues and promotes cell adhesion and spreading, inhibits the membrane-damaging effect of the terminal cytolytic complement pathway, and binds to several serpin serine protease inhibitors. It is a secreted protein and exists in either a single chain form or a clipped, two chain form held together by a disulfide bond.


Aliases:    VN; V75; VNT    

Entrez GeneID:    7448    

Swissprot :   P04004    

WB Predicted band size:    54.3kDa    

Host/Isotype:    Mouse IgG2b    

Species Reactivity:    Human    

Immunogen:    Purified recombinant fragment of human VTN (AA: 20-199) expressed in E. Coli.    


Operation

IHC    1/200 - 1/1000    

FCM    1/200 - 1/400    

ELISA    1/10000    

References