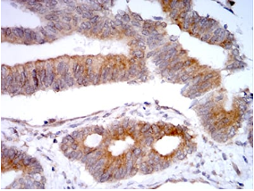
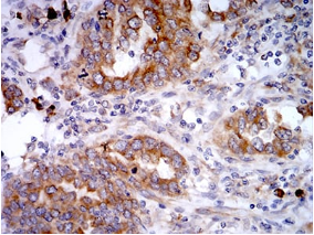
VIMP Mouse Monoclonal antibody[7F8G1]

AccuSift
SELS; ADO15; SBBI8; SEPS1; AD-015
SKU Name Unit Price Delivery QTY
AC3807 VIMP Mouse Monoclonal antibody[7F8G1] 100ug $367 10days
AC3807 VIMP Mouse Monoclonal antibody[7F8G1] 200ug $660.6 10days

This gene encodes a member of the selenoprotein family, characterized by a selenocysteine (Sec) residue at the active site. The selenocysteine is encoded by the UGA codon that normally signals translation termination. The 3' UTR of selenoprotein genes have a common stem-loop structure, the sec insertion sequence (SECIS), that is necessary for the recognition of UGA as a Sec codon rather than as a stop signal. Studies suggest that this protein may regulate cytokine production, and thus play a key role in the control of the inflammatory response. Alternative splicing results in multiple transcript variants encoding different isoforms.


Aliases:    SELS; ADO15; SBBI8; SEPS1; AD-015    

Entrez GeneID:    55829    

Swissprot:    Q9BQE4    

WB Predicted band size:    21.2kDa    

Host/Isotype:    Mouse IgG2b    

Species Reactivity:    Human    

Immunogen:    Purified recombinant fragment of human VIMP (AA: 1-187) expressed in E. Coli.    


Operation

WB    1/500 - 1/2000    

IHC    1/200 - 1/1000    

ELISA    1/10000    

References