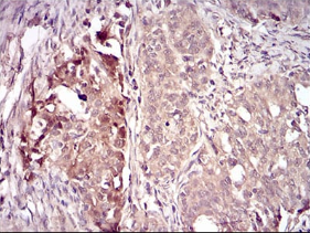
VIL1 Mouse Monoclonal antibody[3E5G1]

AccuSift
VIL; D2S1471
SKU Name Unit Price Delivery QTY
AC3800 VIL1 Mouse Monoclonal antibody[3E5G1] 100ug $367 10days
AC3800 VIL1 Mouse Monoclonal antibody[3E5G1] 200ug $660.6 10days

This gene encodes a member of a family of calcium-regulated actin-binding proteins. This protein represents a dominant part of the brush border cytoskeleton which functions in the capping, severing, and bundling of actin filaments. Two mRNAs of 2.7 kb and 3.5 kb have been observed; they result from utilization of alternate poly-adenylation signals present in the terminal exon.


Aliases:    VIL; D2S1471    

Entrez GeneID:    7429    

Swissprot :   P09327    

WB Predicted band size:    92.7kDa    

Host/Isotype:    Mouse IgG1    

Species Reactivity:    Human    

Immunogen:    Purified recombinant fragment of human VIL1 (AA: 1-209) expressed in E. Coli.    


Operation

WB    1/500 - 1/2000    

IHC    1/200 - 1/1000    

IF/ICC    1/200 - 1/1000    

FCM    1/200 - 1/400    

ELISA    1/10000    

References