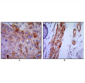
VCAM1 Mouse Monoclonal antibody[6G9G1]

AccuSift
CD106; MGC99561; INCAM-100; DKFZp779G2333; VCAM1
SKU Name Unit Price Delivery QTY
AC3796 VCAM1 Mouse Monoclonal antibody[6G9G1] 100ug $367 10days
AC3796 VCAM1 Mouse Monoclonal antibody[6G9G1] 200ug $660.6 10days

This gene is a member of the Ig superfamily and encodes a cell surface sialoglycoprotein expressed by cytokine-activated endothelium. This type I membrane protein mediates leukocyte-endothelial cell adhesion and signal transduction, and may play a role in the development of artherosclerosis and rheumatoid arthritis. Two alternatively spliced transcripts encoding different isoforms have been described for this gene.Tissue specificity: Expressed on inflamed vascular endothelium, as well as on macrophage-like and dendritic cell types in both normal and inflamed tissue.INVITROGEN: CD106 is expressed on bone marrow stromal cells, myeloid cells, and endothelial cells.


Aliases:    CD106; MGC99561; INCAM-100; DKFZp779G2333; VCAM1    

Entrez GeneID:    7412    

Swissprot :   P19320    

WB Predicted band size:    81kDa    

Host/Isotype:    Mouse IgG1    

Species Reactivity:    Human    

Immunogen:    Purified recombinant fragment of human VCAM1 expressed in E. Coli.    


Operation

WB    1/500 - 1/2000    

IHC    1/200 - 1/1000    

ELISA    1/10000    

References