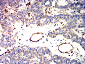
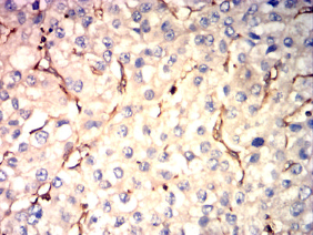
VASP Mouse Monoclonal antibody[6B10A]

AccuSift
SKU Name Unit Price Delivery QTY
AC3792 VASP Mouse Monoclonal antibody[6B10A] 100ug $367 10days
AC3792 VASP Mouse Monoclonal antibody[6B10A] 200ug $660.6 10days

Vasodilator-stimulated phosphoprotein (VASP) is a member of the Ena-VASP protein family. Ena-VASP family members contain an EHV1 N-terminal domain that binds proteins containing E/DFPPPPXD/E motifs and targets Ena-VASP proteins to focal adhesions. In the mid-region of the protein, family members have a proline-rich domain that binds SH3 and WW domain-containing proteins. Their C-terminal EVH2 domain mediates tetramerization and binds both G and F actin. VASP is associated with filamentous actin formation and likely plays a widespread role in cell adhesion and motility. VASP may also be involved in the intracellular signaling pathways that regulate integrin-extracellular matrix interactions. VASP is regulated by the cyclic nucleotide-dependent kinases PKA and PKG. [provided by RefSeq, Jul 2008]


Entrez GeneID:    7408    

Swissprot :   P50552    

WB Predicted band size:    39.8kDa    

Host/Isotype:    Mouse IgG1    

Species Reactivity:    Human, Monkey    

Immunogen:    Purified recombinant fragment of human VASP (AA: 1-380) expressed in E. Coli.    


Operation

WB    1/500 - 1/2000    

IHC    1/200 - 1/1000    

IF/ICC    1/200 - 1/1000    

FCM    1/200 - 1/400    

ELISA    1/10000    

References